
If you want to give your teeth a sparkling sheen, consider dental veneers, also called porcelain veneers or dental porcelain laminates. Veneers are a great intermediate option between bondings and crowns. They offer more complete restoration than bondings without the extensive reshaping that crowns may entail.
What is a Dental Veneer?
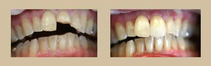
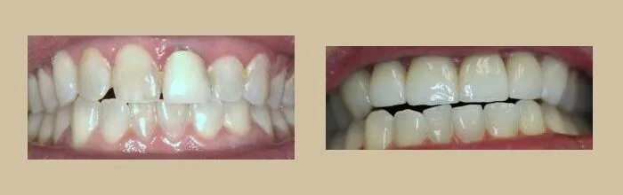
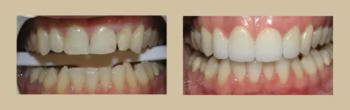
A veneer is a half-millimeter thick coating of resin or porcelain that covers a tooth’s surface to improve its appearance. Cheaper types of veneers involve resin, while porcelain offers the best quality, resisting stains and reflecting light in a way that more closely approximates natural teeth. The veneer is bonded to the tooth’s surface, altering its color and shape. Veneers repair teeth that are discolored, worn down, broken, or chipped, as well as teeth that are misaligned or irregularly shaped.
What is the Procedure for Getting Dental Veneers Scottsdale?
The dental veneer procedure has three steps. One or many teeth can undergo this process simultaneously.
- Your first appointment involves diagnosis and planning your treatment. You will discuss desired results with your dentist, who will examine your teeth to ensure that you are a good candidate for dental veneers. Your dentist may also take X-rays and make impressions to guide them through the treatment process.
- Your second appointment is for preparation. Your dentist removes a half-millimeter of enamel from the targeted teeth, corresponding to the thickness of the veneer. This step is irreversible, so you must be certain about undergoing the procedure. An impression is made of your teeth, which is sent to a laboratory and serves as a model for constructing the veneer, which usually takes two to four weeks.
- In your third appointment, the actual bonding takes place. The veneer is trimmed and adjusted to achieve the best fit. Your teeth are cleaned and polished in preparation for bonding. The veneer is attached with cement, which is hardened beneath a special light. Lastly, you may return for a follow-up visit to check that the veneer is settling properly.
What are the Advantages and Disadvantages of Porcelain Veneers Scottsdale?
Veneers offer natural tooth appearance, are stain-resistant, and long-lasting. A set of veneers will last between seven and fifteen years, after which it needs to be replaced. Also, veneers do not require the extensive shaping that often accompanies crowns.
Be aware that the veneer procedure is irreversible, and the removal of enamel may make your teeth more sensitive to hot and cold. Veneers are also difficult to repair, and are not recommended if you clench or grind your teeth. Veneers should not be used on weakened or decayed teeth. Your dentist will help you weigh these costs and benefits.
Schedule a consultation to discuss whether dental veneers are right for you. Our Precious Smiles staff will be happy to answer your questions.
Related Links:
4 Veneers to Restore Enamel Erosion











Dr. Kaocharoen
Contact Us
Testimonials
Faqs
Welcome to your affordable dental care provider in Arizona. Our practice is committed to giving you the best possible smile and providing quality care in a relaxed, comfortable environment.
It is widely assumed that you should see a dentist twice a year. This is a good rule of thumb to remember when in doubt. However, if you want to know how frequently you should have a dental checkup, you should consider your specific mouth, hygiene, habits, and overall health.
Many people wait till they experience toothaches or awkward color changes before visiting a dentist. But this is not advisable. A problem that started mildly would have gotten worse before it got the notice of the dentist. And it may become more problematic. Visiting a Scottsdale Dentist regularly for a check-up means protecting yourself from a bigger problem. Just as the proverb says, a stitch in time saves nine. Again, you may have a dental problem and not be aware. You can also visit a dentist to get teeth whitening done; it will boost your confidence and give you a precious smile.
As part of good oral hygiene, you should change your toothbrush regularly. The dentist advised that you should change your toothbrush every three months. Plaques accumulate on your toothbrush, so you should change them regularly. Patients treating tooth decay, gum disease, and other dental issues should change their toothbrushes more often. Toothbrushes should be washed, cleaned, and kept in a cool place. Electric toothbrushes can be used for more than 3 months before replacing them. We await your visit to Scottsdale Dentistry. Kindly reach out to us through the details given on our page. We want to see your precious smile.